IL VIDEO. Harmony, svolta nel trattamento delle cardiopatie congenite
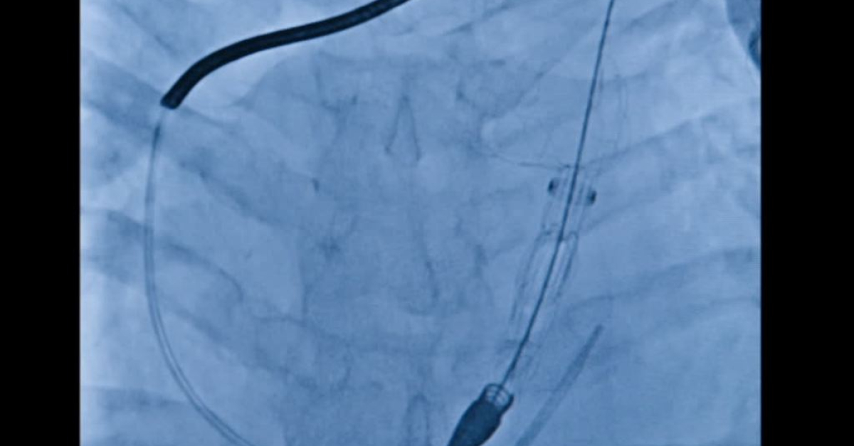
Roma, 21 lug. (askanews) - Hanno preso il via in Italia i primi impianti del sistema Harmony Transcatheter Pulmonary Valve (TPV), una tecnologia innovativa sviluppata da Medtronic, azienda leader di Healthcare Technology, che offre una soluzione alternativa alla chirurgia a cuore aperto per i pazienti con cardiopatie congenite.Il sistema Harmony rappresenta una svolta clinica per centinaia di pazienti che, fino ad oggi, erano destinati a interventi multipli a cuore aperto nel corso della vita e consente ai medici di trattarli in modo più sicuro ed efficace, migliorando la loro qualità della vita. Il dispositivo, già impiantato con successo in oltre 2.800 pazienti a livello internazionale, è ora disponibile anche in Italia in cinque centri ospedalieri di riferimento per la cardiologia pediatrica e congenita: Ospedale Pediatrico Bambino Gesù di Roma; Azienda Ospedale-Università di Padova; Policlinico Sant'Orsola-Malpighi di Bologna; IRCCS Policlinico San Donato e Ospedale Papa Giovanni XXIII di Bergamo.Le cardiopatie congenite colpiscono circa 40.000 neonati ogni anno in Europa e la popolazione adulta affetta è pari a oltre 2,3 milioni di persone . Circa il 20% dei pazienti presenta malformazioni del tratto di efflusso del ventricolo destro (RVOT), che compromettono il passaggio del sangue tra cuore e polmoni. Per molti pazienti con queste anomalie una sostituzione della valvola polmonare è necessaria nel tempo, ma tradizionalmente richiedeva un nuovo intervento a cuore aperto. Ora, con il sistema Harmony , è possibile eseguire l'impianto in modo mininvasivo, riducendo significativamente i rischi e i tempi di recupero.L'insufficienza della valvola polmonare è una condizione in cui questa valvola, situata tra il ventricolo destro del cuore e l'arteria che porta il sangue ai polmoni, non funziona come dovrebbe. Normalmente, il suo compito è quello di far passare il sangue verso i polmoni, dove si arricchisce di ossigeno, e poi chiudersi per impedire che torni indietro. Quando la valvola non si chiude bene, una parte del sangue torna nel cuore invece di proseguire il suo percorso. Questo costringe il ventricolo destro a lavorare di più per mantenere un flusso efficace, uno sforzo che con il tempo può diventare problematico. In una fase iniziale il cuore riesce ad adattarsi, ma col passare degli anni possono comparire sintomi come stanchezza, fiato corto anche con sforzi lievi, e nei casi più gravi aritmie, scompenso cardiaco e rischio di morte. Per evitare che la situazione peggiori, quando l'insufficienza è significativa si interviene con la sostituzione della valvola polmonare. Questo permette di ristabilire il normale flusso del sangue verso i polmoni e di ridurre il carico sul cuore, migliorando la qualità e le prospettive di vita del paziente.Harmony TPV è progettata per offrire una valida alternativa all'intervento chirurgico tradizionale di sostituzione della valvola polmonare. La procedura di impianto avviene infatti tramite un sistema transcatetere e consente un recupero più rapido e minori rischi operatori. La procedura di impianto valvolare transcatetere ha alcuni vantaggi fondamentali rispetto alla chirurgia - sottolinea il Prof. Massimo Chessa Responsabile del Centro di cardiologia ed emodinamica pediatrica e del congenito adulto dell'IRCCS Policlinico San Donato - permette un approccio meno invasivo e un recupero più veloce per il paziente spesso giovane e già sottoposto a vari interventi chirurgici. Inoltre, benché vi possano essere rischi aritmici legati alla procedura, va ricordato che anche l'approccio chirurgico, che per sua natura prevede la creazione di cicatrici, non può preservare il paziente da tali rischi. I dati clinici a tre anni confermano risultati eccellenti in termini di funzionalità valvolare, adattabilità anatomica, sicurezza e durata dell'efficacia. L'arrivo del dispositivo Harmony ha consentito di estendere la possibilità di trattamento per via transcatetere a un numero maggiore di pazienti - commenta il Prof. Biagio Castaldi dell'Azienda Ospedale - Università di Padova. Il device è risultato altamente versatile, in grado di adattarsi a diverse conformazioni anatomiche e di semplice utilizzo sia nella fase di montaggio che in quella di impianto. Gli anni e le risorse investiti da Medtronic nella progettazione della valvola ci fanno pensare che gli studi a lungo termine confermeranno i risultati finora ottenuti in termini di sicurezza ed efficacia .Questa innovazione consente di ridurre significativamente il carico clinico e psicologico associato agli interventi ripetuti, migliorando la qualità della vita dei pazienti e riducendo le interruzioni nelle attività quotidiane, soprattutto nei soggetti più giovani.A conferma del valore aggiunto che questa innovazione rappresenta nella pratica clinica quotidiana, il Dott. Duarte Saraiva Martins, cardiologo interventista dell'Unità complessa di Cardiologia 2 - Cardiopatie congenite del bambino e dell'adulto dell'ASST Papa Giovanni XXIII, evidenzia come: oltre alla grande versatilità di questa nuova valvola, un elemento innovativo e clinicamente molto utile è la piattaforma digitale messa a disposizione da Medtronic, che aiuta i medici a capire se un paziente può ricevere l'impianto della valvola Harmony. Grazie a immagini dettagliate del cuore, questa tecnologia permette di programmare l'intervento in modo più semplice e sicuro. Questo rende la procedura più rapida e riduce anche l'esposizione dei pazienti ai raggi X .






























































